Karang gigi, atau tartar, adalah lapisan keras yang terbentuk di permukaan gigi akibat penumpukan plak yang mengeras. Plak itu sendiri adalah lapisan tipis yang terdiri dari bakteri dan sisa makanan yang menempel pada gigi.
Jika tidak dibersihkan dengan benar, plak ini dapat mengeras menjadi karang gigi, yang sulit untuk dihilangkan hanya dengan menyikat gigi biasa. Karang gigi tidak hanya mengganggu penampilan, tetapi juga dapat menyebabkan berbagai masalah kesehatan gigi, seperti gusi berdarah dan radang gusi.
Proses terbentuknya karang gigi dimulai ketika plak yang mengandung bakteri menempel pada gigi dan tidak segera dibersihkan. Seiring waktu, mineral dalam air liur, seperti kalsium, akan mengendap dan mengeras pada plak.
Proses ini berlangsung perlahan, namun tanpa perawatan yang tepat, karang gigi akan semakin menebal dan menyulitkan pembersihannya. Oleh karena itu, penting untuk mengetahui cara membersihkan karang gigi secara efektif agar kesehatan mulut tetap terjaga.
Karang gigi yang dibiarkan menumpuk bisa menyebabkan berbagai masalah kesehatan mulut yang serius, termasuk infeksi gusi hingga kerusakan gigi.
Untuk itu, sangat penting bagi kita untuk mengetahui cara membersihkan karang gigi dengan tepat. Pembersihan karang gigi yang dilakukan secara rutin tidak hanya akan membantu menjaga kebersihan gigi, tetapi juga mencegah timbulnya penyakit gusi yang lebih serius.
Pada artikel kali ini kami akan memberitahu Anda cara membersihkan karang gigi secara alami dan pentingnya melakukan skaling gigi secara teratur.
Mengapa Penting untuk Membersihkan Karang Gigi
Membersihkan karang gigi sangat penting untuk menjaga kesehatan mulut dan gigi Anda. Karang gigi yang terbentuk dari plak yang mengeras dapat menyebabkan berbagai masalah kesehatan gigi jika tidak dibersihkan secara rutin.
Salah satu masalah utama yang timbul adalah penyakit gusi. Karang gigi yang menempel pada gigi dan gusi dapat menyebabkan iritasi dan peradangan, yang pada akhirnya dapat mengarah pada radang gusi atau bahkan periodontitis, yaitu infeksi serius yang bisa merusak jaringan penyangga gigi.
Selain itu, karang gigi yang tidak dibersihkan dapat menyebabkan bau mulut yang tidak sedap. Bakteri yang berkembang biak pada karang gigi menghasilkan senyawa sulfur yang menyebabkan bau mulut. Ini tentu dapat memengaruhi rasa percaya diri Anda saat berbicara dengan orang lain.
Oleh karena itu, membersihkan karang gigi secara rutin adalah langkah penting untuk menghindari masalah-masalah tersebut dan menjaga napas tetap segar.
Pembersihan karang gigi yang tepat juga membantu mencegah kerusakan gigi lebih lanjut. Karang gigi yang menumpuk bisa memperburuk kerusakan pada enamel gigi, yang pada akhirnya dapat menyebabkan gigi berlubang.
Jika dibiarkan, kerusakan ini bisa semakin parah dan memerlukan perawatan yang lebih mahal dan kompleks. Dengan mengetahui cara membersihkan karang gigi, Anda tidak hanya menjaga kebersihan mulut, tetapi juga melindungi kesehatan gigi dalam jangka panjang.
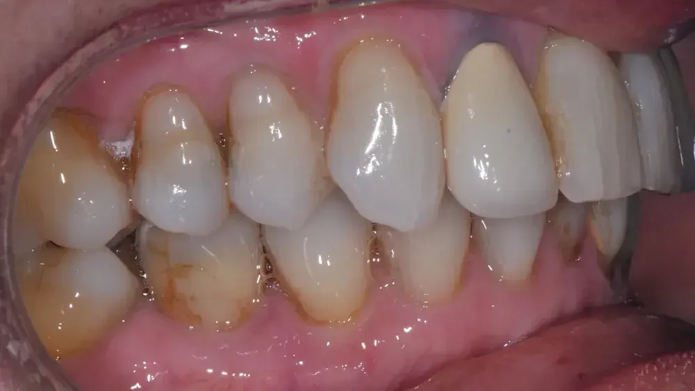
Karang gigi yang menumpuk sering kali tidak menimbulkan rasa sakit, namun ada beberapa gejala yang bisa menjadi indikasi adanya karang gigi.
Salah satunya adalah gusi yang mudah berdarah, terutama saat menyikat gigi atau menggunakan benang gigi. Gusi yang merah, bengkak, dan terasa nyeri juga bisa menjadi tanda adanya karang gigi.
Selain itu, bau mulut yang persisten dapat muncul akibat bakteri yang berkembang pada karang gigi, menghasilkan senyawa sulfur yang menyebabkan bau tidak sedap.
Karang gigi juga dapat membuat gigi terlihat kuning kecoklatan dan terasa kasar. Jika gejala-gejala ini muncul, penting untuk segera melakukan pembersihan karang gigi agar masalah kesehatan mulut tidak semakin parah.
Baca juga: Cara Memutihkan Gigi Secara Alami dan Aman
Penyebab Karang Gigi

Karang gigi terbentuk ketika plak yang menempel pada gigi mengeras seiring waktu. Plak sendiri adalah lapisan tipis yang terdiri dari bakteri dan sisa makanan yang menempel pada permukaan gigi.
Jika plak ini tidak segera dibersihkan, mineral dari air liur seperti kalsium akan mengendap, menyebabkan plak mengeras menjadi karang gigi.
Proses ini dapat berlangsung dalam waktu singkat jika kebersihan mulut tidak dijaga dengan baik. Karang gigi tidak hanya mengganggu penampilan, tetapi juga dapat menyebabkan berbagai masalah kesehatan mulut lainnya.
Penumpukan Plak yang Keras
Plak adalah penyebab utama terbentuknya karang gigi. Jika plak tidak dibersihkan dengan menyikat gigi secara teratur, plak akan semakin menebal dan mengeras.
Proses pengendapan mineral dari air liur membuat plak menjadi keras dan sulit dihilangkan dengan sikat gigi biasa. Karang gigi yang terbentuk bisa menempel pada gigi dan gusi, mengganggu kebersihan mulut, serta memicu masalah kesehatan gigi seperti radang gusi atau bahkan infeksi gigi jika dibiarkan terlalu lama.
Kebersihan Mulut yang Buruk
Kebersihan mulut yang buruk adalah salah satu penyebab utama terbentuknya karang gigi. Jika seseorang jarang menyikat gigi atau tidak melakukannya dengan benar, plak akan menumpuk di gigi dan akhirnya mengeras menjadi karang gigi.
Kebiasaan buruk seperti tidak menggunakan benang gigi untuk membersihkan sisa-sisa makanan di sela-sela gigi juga berkontribusi pada pembentukan plak.
Selain itu, mengabaikan pemeriksaan gigi secara rutin juga memperburuk kondisi ini, karena karang gigi yang sudah terbentuk hanya bisa dihilangkan oleh dokter gigi dengan alat khusus.
Dengan kebersihan mulut yang buruk, bakteri dalam plak berkembang biak, yang dapat menyebabkan berbagai masalah kesehatan mulut, termasuk gusi berdarah, bau mulut, dan kerusakan gigi.
Baca juga: 6 Rekomendasi Klinik Scaling Karang Gigi BSD Terbaik
Genetik
Faktor genetik juga dapat mempengaruhi kecenderungan seseorang untuk mengalami penumpukan karang gigi. Beberapa orang mungkin memiliki kadar air liur yang lebih sedikit atau komposisi kimiawi air liur yang lebih rentan terhadap pembentukan plak.
Faktor genetik ini dapat menyebabkan peningkatan penumpukan plak dan karang gigi meskipun orang tersebut menjaga kebersihan mulut dengan baik.
Selain itu, kecenderungan terhadap penyakit gusi atau masalah gigi lainnya juga bisa diturunkan dalam keluarga, sehingga genetik memainkan peran penting dalam kesehatan mulut seseorang.
Namun, meskipun faktor genetik dapat mempengaruhi, kebiasaan menjaga kebersihan mulut yang baik tetap menjadi faktor utama dalam mencegah terbentuknya karang gigi.
Baca juga: Gusi Bengkak: Penyebab, Gejala, Pengobatan, dan Pencegahan
Faktor Risiko
Beberapa faktor dapat meningkatkan risiko terbentuknya karang gigi, antara lain kebiasaan merokok, diet tinggi gula, dan kurangnya perawatan gigi yang baik. Merokok dapat mengurangi aliran air liur yang berfungsi membersihkan sisa makanan dan bakteri di mulut.
Selain itu, rokok juga mempercepat pembentukan plak, membuat gigi lebih rentan terhadap karang. Diet yang tinggi gula juga menjadi faktor utama pembentukan plak, karena gula menyediakan makanan bagi bakteri yang menyebabkan plak.
Kurangnya perawatan gigi yang baik, seperti tidak menyikat gigi secara rutin, tidak menggunakan benang gigi, atau jarang melakukan pemeriksaan gigi ke dokter, juga dapat meningkatkan risiko terbentuknya karang gigi.
Baca juga: Perbedaan Scaling dan Dental Spa Gigi: Mana yang Lebih Baik?
Cara Membersihkan Karang Gigi Secara Alami
Membersihkan karang gigi secara alami dapat dilakukan dengan bahan-bahan yang mudah ditemukan di rumah.
Beberapa bahan alami terbukti efektif dalam membantu mengurangi dan menghilangkan karang gigi, meskipun tidak dapat menggantikan perawatan gigi profesional yang dilakukan oleh dokter gigi.
Berikut adalah beberapa cara alami yang dapat membantu membersihkan karang gigi:
1. Menggunakan Baking Soda
Baking soda merupakan bahan alami yang sering digunakan untuk membersihkan gigi dan menghilangkan karang gigi. Kandungan abrasif pada baking soda membantu mengikis plak dan karang gigi yang menempel pada permukaan gigi. Selain itu, baking soda juga dapat menetralkan asam dalam mulut yang dapat menyebabkan kerusakan gigi.
Cara pemakaian: Campurkan satu sendok teh baking soda dengan sedikit air untuk membentuk pasta kental. Gunakan pasta ini dengan menyikat gigi secara lembut, atau Anda bisa langsung menaburkan baking soda pada sikat gigi yang basah dan menyikatnya secara perlahan.
Baking soda cukup efektif untuk mengurangi plak jika digunakan secara teratur, namun sebaiknya tidak digunakan terlalu sering karena bisa merusak enamel gigi. Gunakan baking soda ini 1-2 kali seminggu untuk hasil yang optimal.
2. Menggunakan Cuka Apel
Cuka apel mengandung asam asetat yang dapat membantu melarutkan plak dan karang gigi yang menempel pada gigi. Asam dalam cuka apel juga dapat membantu menurunkan pH mulut, sehingga menghambat pertumbuhan bakteri penyebab plak.
Cara pemakaian: Campurkan satu sendok makan cuka apel dengan segelas air hangat. Gunakan campuran ini untuk berkumur selama 30 detik hingga 1 menit, lalu bilas mulut dengan air bersih.
Meskipun cuka apel dapat membantu membersihkan karang gigi, penggunaan berlebihan dapat merusak enamel gigi karena sifat asamnya yang cukup kuat. Sebaiknya gunakan cuka apel hanya 1-2 kali seminggu dan pastikan untuk berkumur dengan air setelahnya.
Baca juga: 10 Cara Meredakan Sakit Gigi Secara Alami
3. Minyak Kelapa (Oil Pulling)
Metode oil pulling dengan minyak kelapa adalah teknik tradisional yang telah lama digunakan untuk menjaga kebersihan mulut dan mengurangi pembentukan plak. Minyak kelapa mengandung asam laurat, yang dikenal memiliki sifat antibakteri dan antiinflamasi, membantu mengurangi jumlah bakteri di mulut.
Cara pemakaian: Ambil satu sendok makan minyak kelapa, kemudian berkumur dengan minyak tersebut selama 10-20 menit. Setelah itu, buang minyak kelapa dan bilas mulut dengan air hangat.
Selain membersihkan karang gigi, minyak kelapa juga dapat membantu mengurangi bau mulut dan menjaga kesehatan gusi. Metode ini juga dapat membantu mengurangi peradangan pada gusi yang disebabkan oleh plak.
Baca juga: Kapan Tumbuh Gigi Permanen? Ini Tanda dan Prosesnya
4. Menggunakan Daun Sirih
Daun sirih sudah lama digunakan sebagai bahan alami untuk menjaga kebersihan mulut dan gigi. Daun sirih mengandung sifat antibakteri dan antimikroba yang dapat membantu mengurangi plak dan menjaga kesehatan gigi.
Cara pemakaian: Rebus beberapa daun sirih dalam air hingga mendidih, lalu gunakan air rebusan tersebut untuk berkumur. Lakukan ini beberapa kali dalam seminggu untuk hasil yang lebih maksimal.
Daun sirih dapat membantu membersihkan karang gigi, meredakan peradangan pada gusi, serta mengurangi bau mulut.
5. Kunyit
Kunyit mengandung kurkumin, yang memiliki sifat antibakteri dan antiinflamasi. Kurkumin dapat membantu membersihkan gigi dari plak dan mengurangi jumlah bakteri yang menempel pada gigi, sehingga membantu mencegah pembentukan karang gigi.
Cara pemakaian: Campurkan kunyit bubuk dengan sedikit air untuk membuat pasta. Gunakan pasta ini untuk menyikat gigi dengan lembut. Anda juga bisa menambahkannya ke dalam pasta gigi biasa untuk meningkatkan efeknya.
Namun perlu diperhatikan, kunyit dapat meninggalkan noda kuning pada gigi jika digunakan terlalu sering, sehingga disarankan untuk membersihkan gigi dengan air setelah menggunakan kunyit. Gunakan metode ini secara bijak untuk menghindari noda permanen pada gigi.
Baca juga: Berapa Biaya Scaling Karang Gigi? Ini Kisaran Harganya
6. Stroberi dan Baking Soda
Stroberi mengandung asam malat, yang dapat membantu mengikis noda pada gigi dan memutihkan gigi secara alami. Jika dicampurkan dengan baking soda, kombinasi ini bisa memberikan efek pembersihan yang lebih kuat.
Cara pemakaian: Hancurkan beberapa stroberi dan campurkan dengan setengah sendok teh baking soda hingga membentuk pasta. Gunakan pasta ini sebagai pengganti pasta gigi untuk menyikat gigi. Sikat dengan lembut selama 2 menit, kemudian bilas dengan air bersih.
Stroberi dan baking soda dapat membantu memutihkan gigi dan mengurangi plak, namun pastikan untuk tidak menggunakannya terlalu sering karena asam dalam stroberi bisa berpotensi merusak enamel gigi jika digunakan secara berlebihan. Sebaiknya gunakan kombinasi ini sekali seminggu untuk hasil terbaik.
Baca juga: Gigi Sensitif: Penyebab, Gejala, dan Pengobatannya
Bersihkan Karang Gigi Secara Teratur dengan Layanan Scaling Gigi di Signature Dental Care BSD

Membersihkan karang gigi secara alami memang dapat membantu mengurangi penumpukan plak, namun untuk hasil yang optimal dan kesehatan mulut yang lebih terjaga, prosedur scaling gigi di klinik gigi profesional seperti Signature Dental Care BSD sangat disarankan.
Scaling gigi adalah proses pembersihan karang gigi yang dilakukan oleh dokter gigi menggunakan alat khusus untuk mengikis karang gigi yang sudah menempel di gigi dan sulit dihilangkan dengan sikat gigi biasa.
Dengan melakukan scaling secara rutin, Anda dapat memastikan karang gigi tidak hanya teratasi, tetapi juga mencegah masalah gigi lainnya yang lebih serius.
Di Signature Dental Care BSD, layanan scaling gigi dilakukan oleh tenaga profesional yang berpengalaman dan dilengkapi dengan peralatan medis paling canggih, memastikan pembersihan karang gigi yang efektif dan aman.
Selain membersihkan karang gigi, prosedur scaling juga membantu menjaga kesehatan gusi, mengurangi bau mulut, serta mencegah gigi berlubang yang bisa terjadi akibat penumpukan plak dan karang gigi.
Prosedur ini tidak hanya meningkatkan penampilan gigi Anda, tetapi juga mendukung kesehatan mulut secara keseluruhan.
Jika Anda merasa sudah melakukan pembersihan gigi rutin di rumah namun tetap mengalami masalah karang gigi, kunjungi Signature Dental Care BSD untuk layanan scaling gigi berkualitas.
Layanan scaling gigi ini dapat membantu Anda mendapatkan gigi yang lebih bersih, sehat, dan terjaga dari masalah gigi yang lebih serius.
Kunjungi dan hubungi Signature Dental Care melalui Whatsapp melalui tautan ini.
Jika Anda ingin mengetahui artikel lain yang serupa dengan 6 Cara Membersihkan Karang Gigi Dengan Bahan Alami Anda dapat mengunjungi kategori Perawatan Gigi.
Related posts :