5 Klinik Gigi dengan Layanan X Ray Gigi di BSD Modern

Rasa nyeri gigi yang datang tiba-tiba, gusi bengkak, atau rencana perawatan seperti behel dan perawatan saluran akar seringnya membutuhkan pemeriksaan lanjutan yang lebih akurat. Pada kondisi inilah pemeriksaan X-ray gigi menjadi langkah penting dalam proses diagnosis.
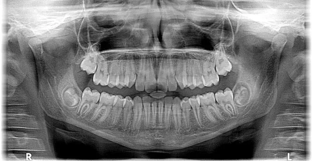
X-ray gigi atau rontgen gigi membantu dokter gigi melihat kondisi gigi dan jaringan di bawahnya yang tidak dapat terlihat dengan mata. Misalnya akar gigi, tulang rahang, gigi berlubang yang tersembunyi, hingga tanda infeksi atau peradangan.
Dalam praktiknya, pemeriksaan X-ray gigi terdiri dari beberapa jenis, seperti digital X-ray (periapical) yang digunakan untuk melihat detail satu atau dua gigi secara spesifik, panoramic X-ray untuk gambaran seluruh gigi dan rahang, serta CBCT yang memberikan visualisasi tiga dimensi untuk kebutuhan perawatan tertentu. Jenis pemeriksaan yang digunakan akan disesuaikan dengan kondisi dan kebutuhan pasien
Di BSD, pilihan klinik gigi memang terbilang banyak. Namun, saat membutuhkan pemeriksaan X-ray gigi, tidak semua klinik mampu memberikan hasil yang cepat, jelas, dan akurat. Perbedaan kualitas alat dan pengalaman dokter dalam menganalisis hasil rontgen bisa sangat memengaruhi ketepatan diagnosis serta rencana perawatan yang akan dijalani pasien.
Ketika kondisi gigi membutuhkan penanganan segera, memilih klinik yang tepat menjadi hal yang krusial. Salah pilih bisa berujung pada diagnosis yang kurang akurat dan perawatan yang tidak optimal.
Lalu, klinik gigi mana saja di BSD yang menyediakan layanan X-ray gigi dan layak dijadikan pilihan? Berikut ini kami rangkum 5 rekomendasi klinik gigi dengan layanan X-ray gigi di BSD yang bisa menjadi pertimbangan Anda.
Kriteria Memilih Tempat X-ray Gigi yang Tepat di BSD
Sebelum menentukan pilihan, ada beberapa hal penting yang sebaiknya diperhatikan agar hasil pemeriksaan X-ray gigi benar-benar membantu proses diagnosis dan perawatan.
1. Peralatan X-ray Gigi yang Digunakan
Teknologi X-ray gigi yang modern mampu menghasilkan gambar yang lebih jelas dengan paparan radiasi minim. Hasil rontgen yang tajam akan sangat membantu dokter gigi dalam melihat kondisi akar gigi, tulang rahang, hingga infeksi yang tidak tampak dari pemeriksaan biasa.
2. Pengalaman Dokter Gigi yang Menangani
Hasil X-ray gigi tidak cukup hanya diambil, tetapi harus dianalisis dengan tepat. Klinik yang baik memiliki dokter gigi yang berpengalaman dalam membaca radiografi gigi dan mampu menjelaskan hasilnya secara jelas kepada pasien, termasuk rencana perawatan yang disarankan.
Baca juga: Pemeriksaan Dental Rontgen CBCT Terlengkap di BSD
3. Proses Pemeriksaan yang Cepat dan Terstandar
Dalam kondisi tertentu, pasien membutuhkan hasil X-ray gigi dalam waktu singkat agar perawatan dapat segera dilakukan. Klinik dengan alur pemeriksaan yang rapi dan prosedur yang jelas akan membantu pasien mendapatkan hasil lebih cepat tanpa mengorbankan akurasi.
4. Keamanan dan Kenyamanan Pasien
Pemeriksaan X-ray gigi harus dilakukan dengan standar keamanan yang baik, termasuk penggunaan pelindung radiasi dan prosedur yang sesuai. Selain itu, kenyamanan pasien selama proses pemeriksaan juga penting agar tidak menimbulkan rasa cemas berlebih.
5. Lokasi Mudah Diakses dan Terintegrasi dengan Layanan Perawatan Gigi
Memilih tempat X-ray gigi yang berada dalam satu klinik atau terintegrasi dengan layanan perawatan gigi akan memudahkan pasien. Setelah hasil rontgen keluar, konsultasi dan tindakan lanjutan bisa dilakukan tanpa harus berpindah tempat.
5 Klinik Gigi yang Menyediakan Layanan X-Ray di BSD
Di daerah BSD, ada sejumlah klinik gigi yang telah dilengkapi dengan layanan X-ray gigi sebagai bagian dari pemeriksaan penunjang.
Berikut ini adalah 5 rekomendasi klinik gigi di BSD yang menyediakan layanan X-ray gigi. Daftar ini disusun berdasarkan fasilitas, layanan X-ray, dan kemudahan akses bagi pasien.
1. Signature Dental Care BSD

Signature Dental Care BSD berlokasi di Foresta Business Loft, Signature Unit I, Jl. BSD Raya Utama, BSD City, Tangerang. Klinik ini buka Senin–Sabtu pukul 10.00–20.30 WIB dan Minggu pukul 10.00–17.00 WIB, sehingga tetap menjadi pilihan bagi pasien yang membutuhkan pemeriksaan gigi di akhir pekan.
Sebagai klinik gigi terpercaya dengan prinsip Commitment to Personalized Oral Solutions, Signature Dental Care didukung oleh tenaga medis profesional, fasilitas yang lengkap, serta teknologi Digital X-Ray dan CBCT (Cone Beam Computed Tomography).
Pemeriksaan ini memungkinkan dokter gigi melihat kondisi gigi, akar, dan struktur tulang rahang secara lebih detail sebelum menentukan rencana perawatan.
Melalui teknologi Digital X-Ray dan CBCT, dokter gigi dapat memperoleh visualisasi yang lebih jelas, termasuk gambaran tiga dimensi, dengan paparan radiasi yang lebih minimal.
Proses pemeriksaan berlangsung cepat dan efisien, sementara hasilnya disimpan secara digital untuk memudahkan evaluasi lanjutan dan perencanaan tindakan yang lebih presisi sesuai kebutuhan pasien.
Selain layanan Digital X-Ray dan CBCT, beberapa layanan orthodonti yang disediakan Signature Dental Care adalah seperti:
- Cabut gigi
- Dental implant
- Perawatan gigi anak
- Scaling dan dental spa
- Konsultasi dan pemasangan kawat gigi
- Veneer, crown, & bridges
- Konsultasi dan pemasangan aligner
Untuk informasi layanan kesehatan gigi selengkapnya, bisa Anda akses di menghubungi kami melalui Whatsapp pada tautan ini.
Baca juga: 5 Klinik Gigi yang Memiliki Layanan Implan Gigi di BSD
2. Audy Dental BSD
Audy Dental BSD berlokasi di Ruko Golden Boulevard BSD Blok Q No. 3, Jl. Pahlawan Seribu, Tangerang Selatan. Klinik ini dikenal sebagai bagian dari jaringan klinik gigi yang memiliki fasilitas perawatan cukup lengkap, termasuk layanan X-ray gigi sebagai pemeriksaan penunjang diagnosis.
Di Audy Dental BSD, pemeriksaan X-ray gigi digunakan untuk membantu mendeteksi masalah yang tidak terlihat dari pemeriksaan visual, seperti kondisi akar gigi atau infeksi tersembunyi.
Klinik ini umumnya menggunakan teknologi X-ray digital, sehingga proses pengambilan gambar berlangsung relatif cepat dan hasilnya bisa langsung dianalisis oleh dokter gigi.
Dengan konsep layanan modern dan jam operasional yang panjang, yaitu setiap hari pukul 10.00–21.00 WIB, klinik ini cukup praktis bagi pasien yang membutuhkan pemeriksaan lanjutan tanpa harus menunggu lama.
3. DentaLounge
DentaLounge berlokasi di TreePark Commercial & Apartment, Lantai 2 Suite C-08B, Jl. Sunburst CBD, BSD, Tangerang Selatan. Klinik ini dikenal dengan suasana yang nyaman dan tenang, sehingga cocok bagi pasien yang baru pertama kali melakukan pemeriksaan gigi atau merasa cemas saat ke dokter gigi.
Selain layanan X-ray gigi, DentaLounge juga menyediakan berbagai perawatan gigi seperti tambal gigi, scaling, dan perawatan rutin lainnya. Pemeriksaan X-ray gigi di sini membantu dokter menentukan kondisi gigi secara lebih akurat sebelum tindakan dilakukan.
DentaLounge buka setiap hari, Senin hingga Minggu, pukul 09.00–20.00 WIB. Untuk kenyamanan, pasien disarankan menghubungi pihak klinik terlebih dahulu guna memastikan apakah hasil X-ray gigi bisa didapatkan di hari yang sama.
Baca juga: 5 Rekomendasi Klinik Tempat Cabut Gigi BSD Terpercaya
4. BSD Dental Centre
BSD Dental Centre berlokasi di Jl. Anggrek Loka Blok AF No. 61, Sektor 22, Rw. Buntu, Kecamatan Serpong, Tangerang Selatan. Klinik ini buka setiap Senin - Sabtu, pukul 10.00 - 19.00 WIB.
Layanan yang tersedia di BSD Dental Centre cukup beragam, mulai dari pemeriksaan dan konsultasi gigi, X-ray gigi, tambal gigi, perawatan saluran akar, hingga cabut gigi.
Ruang tunggu terasa nyaman dan tidak terlalu ramai, sehingga membantu pasien merasa lebih rileks sebelum menjalani pemeriksaan, terutama bagi yang datang dengan keluhan gigi yang cukup mengganggu.
5. A8 Dental BSD
Alamat A8 Dental BSD berada di Ruko Golden Boulevard Blok Q No.3 BSD city, Jl. Pahlawan Seribu, Lengkong Karya, Serpong Utara, Tangerang Selatan. A8 Dental BSD termasuk salah satu cabang dari jaringan A8 Dental yang memiliki banyak lokasi di wilayah Tangerang, seperti Karawaci,
Pondok Aren, Poris, dan BSD. Kliniknya bersih, staf yang ramah, serta harga layanan yang relatif terjangkau.
Untuk pemeriksaan penunjang, A8 Dental BSD menyediakan layanan X-ray gigi yang membantu dokter gigi dalam menilai kondisi gigi dan mulut secara lebih menyeluruh sebelum menentukan perawatan yang dibutuhkan.
Klinik ini buka setiap hari dengan jam operasional sekitar pukul 10.00–21.00 WIB, sehingga fleksibel untuk pasien yang memiliki jadwal padat.
Sebelum datang, pasien disarankan untuk menghubungi pihak klinik melalui telepon atau WhatsApp guna membuat janji dan menyampaikan kebutuhan pemeriksaan, termasuk X-ray gigi.
Pastikan gigi dan mulut dalam kondisi bersih sebelum pemeriksaan, karena kebersihan mulut dapat membantu hasil X-ray terlihat lebih jelas dan akurat.
Baca juga: 6 Rekomendasi Klinik Scaling Karang Gigi BSD Terbaik
Kesimpulan
Perkembangan teknologi X-ray gigi menjadi salah satu langkah penting dalam dunia kedokteran gigi modern. Pemeriksaan ini membantu dokter gigi melihat kondisi gigi dan tulang rahang secara menyeluruh. Termasuk masalah tersembunyi yang sering menjadi penyebab nyeri berkepanjangan.
X-ray gigi kerap dibutuhkan sebelum dokter menentukan diagnosis dan rencana perawatan yang tepat. Mulai dari keluhan nyeri gigi yang tidak kunjung hilang, evaluasi sebelum perawatan saluran akar, hingga persiapan implan atau behel, pemeriksaan ini membantu mencegah kesalahan diagnosis dan tindakan yang kurang optimal di kemudian hari.
Di tengah banyaknya pilihan klinik gigi, memilih tempat X-ray gigi di BSD yang tepat menjadi langkah krusial. Klinik dengan peralatan modern, dokter gigi berpengalaman, serta alur pemeriksaan yang jelas akan memberikan rasa aman dan kepercayaan bagi pasien, terutama saat kondisi gigi membutuhkan penanganan segera.
Dari berbagai pilihan yang tersedia, Signature Dental Care BSD muncul sebagai salah satu rekomendasi unggulan bagi pasien yang mengutamakan akurasi diagnosis dan kualitas perawatan.
Didukung teknologi Digital X-ray dan CBCT, serta tim dokter gigi profesional, klinik ini membantu memastikan setiap rencana perawatan disusun berdasarkan hasil pemeriksaan yang detail dan presisi.
Jika Anda sedang mencari tempat X-ray gigi di BSD yang tidak hanya fokus pada hasil pemeriksaan, tetapi juga kenyamanan dan keamanan pasien, Signature Dental Care BSD dapat menjadi pilihan yang tepat.
Jangan ragu untuk menghubungi tim Signature Dental Care BSD dan jadwalkan pemeriksaan gigi Anda melalui WhatsApp, karena kesehatan gigi dan mulut adalah investasi penting untuk kualitas hidup jangka panjang.
Jika Anda ingin mengetahui artikel lain yang serupa dengan 5 Klinik Gigi dengan Layanan X Ray Gigi di BSD Modern Anda dapat mengunjungi kategori Rekomendasi.

Related posts :